Implant & Family Dentistry
Call (770) 973-4214
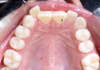
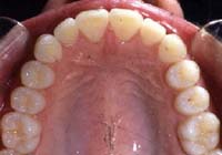
Invisalign® treats a wide variety of cases, including crowding, space closure, narrow arches, relapse, anterior intrusion, and limited treatment cases.
Although only an Invisalign® certified dentist can determine if Invisalign® is right for you, there's a quick way to tell if you might be a candidate. Take a look at some of the past Invisalign® patients below.
Treatment Time: 6 months
Aligners: 12 Upper, 7 Lower

Treatment Time: 9 months
Aligners: 19 Lower

Treatment Time: 8 months
Aligners: 13 Upper, 13 Lower

Treatment Time: 22 months
Aligners: 44 Upper, 27 Lower

Treatment Time: 14.5 months
Aligners: 28 Upper, 28 Lower

Treatment Time: 6 months
Aligners: 13 Upper, 13 Lower

Treatment Time: 9 months
Aligners: 15 Lower

Treatment Time: 7 months
Aligners: 16 Upper

Don't Forget to Floss!
Clean between teeth daily with floss or an interdental cleaner. Decay-causing bacteria can hide between teeth where toothbrush bristles can't reach. Flossing helps remove plaque and food particles from between teeth and under the gum line.
Visit Our Office Regularly!
Take good care of your smile. Remember to visit the dentist regularly for professional cleanings and oral exams.
Mouthwash Is Important, Too!
Brushing and flossing may not be enough. The ADA now recommends using an antimicrobial mouthwash to reduce plaque and prevent gingivitis.
Convenient Appointments!
We are proud to offer you convenient before and after work or school appointments. Call today to schedule an appointment.
We Will Maximize Your Insurance Coverage!
Our experienced staff is here to help get the most from your insurance coverage.
Your Phone Number Here
Your Phone Number Here